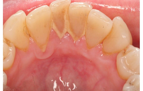
Mảng bám răng miệng, cao răng
Sở hữu một nụ cười trắng sáng và hơi thở thơm mát là mong muốn của tất cả chúng ta. Tuy nhiên, tình trạng mảng bám và cao răng (vôi răng) lại là kẻ thù thầm lặng gây ra nhiều vấn đề về răng miệng nghiêm trọng. Nếu không được xử lý kịp thời, chúng không chỉ gây mất thẩm mỹ mà còn dẫn đến nguy cơ mất răng.
Đọc thêm